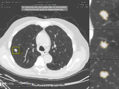
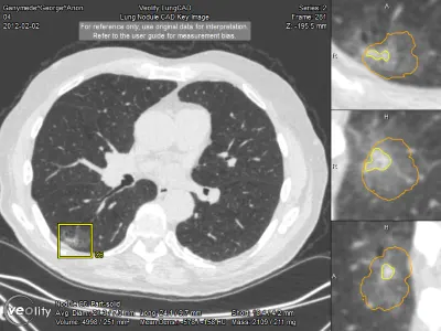
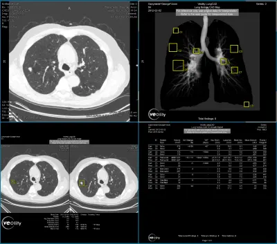
Veolity LungCAD bietet in der Lungenkrebsdiagnostik für Thorax CT-Aufnahmen eine vollständig integrierte KI-gestützte Detektion (CAD) solider Lungenrundherde.
Die Software ermöglicht eine zeiteffiziente und sichere radiologische Befundung von MSCT-Aufnahmen im klinischen Alltag. Veolity LungCAD verbessert die diagnostische Qualität in der Lungendiagnostik und macht komplexe Verlaufskontrollen einfach und effizient. Die besonders praktische automatische Segmentierung der Lungenrundherde mit Volumenmessung hilft Radiologen, reproduzierbare und vergleichbare Ergebnisse zu erzielen. Die Resultate werden einfach in die bestehende IT-Infrastruktur integriert. Radiologen profitieren von den automatischen CAD-Ergebnissen und behalten gleichzeitig die volle Kontrolle über ihren Diagnoseprozess.
Veolity LungCAD wird weltweit eingesetzt, unterstützt von einem erfahrenen Projektmanagement Team mit umfassendem Support.



#Lunge #Thorax
auf Anfrage

Finden Sie auf MED-KI die passenden Services für Ihren Anwendungsbereich.
Skelett Wirbelsäule Kopf Gehirn Schulter Oberarm Ellenbogen Unterarm Handgelenk Hand Becken Bein Hüfte Oberschenkel Knie Unterschenkel Sprunggelenk Fuß Thorax Lunge Brust Prostata