
mdbrain ermöglicht KI-basierte Auswertungen von Schädel-MRTs. Aktuell stehen Module für die Hirn-Volumetrie, Läsionscharakterisierung, Aneurysmadetektion und Tumordifferenzierung zur Verfügung. Als Output werden umfassende, quantitative Berichte, sowie visuelle Overlays direkt ins PACS eingespielt.
Das Modul Hirnvolumetrie ermöglicht präzise, quantitative Aussagen zu lokalen oder generalisierten Atrophien verschiedener Hirnregionen. Neurodegenerative Prozesse erkennen, bevor pathologische Werte erreicht sind.
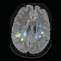
Das Modul Läsionscharakterisierung erleichtert die Differentialdiagnostik und Verlaufskontrolle bei MS- und Demenz-Patient:innen. Ermöglicht wird dies durch eine vollautomatische Segmentierung von Läsionen der weißen Hirnszubstanz.
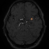
Das Modul Aneurysmadetektion ermöglicht die zuverlässige Detektion von intrakraniellen Aneurysmen. Durch die Auswertung von TOF-Sequenzen werden Anzahl, Volumen und Dynamiken im Zeitverlauf schnell erkannt.
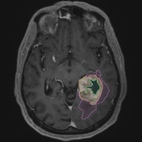
Das Modul Tumordifferenzierung ermöglicht eine automatisierte Differenzierung von Tumorkern und Randödem detektierter Gliome. Auch ist eine direkte Schnittstelle zu Strahlentherapie- und Neurochirurgie-Software möglich.#Kopf #Gehirn
auf Anfrage

Finden Sie auf MED-KI die passenden Services für Ihren Anwendungsbereich.
Skelett Wirbelsäule Kopf Gehirn Schulter Oberarm Ellenbogen Unterarm Handgelenk Hand Becken Bein Hüfte Oberschenkel Knie Unterschenkel Sprunggelenk Fuß Thorax Lunge Brust Prostata